WE HAVE THE BEST PEOPLE
WORKING ON YOUR IMAGE

Services

» Pacific MRI Center provides a wide range of MRI procedures:

picture

Neuro Imaging

MRI is considered the imaging modality of choice for most diseases affecting the central nervous system (brain and spine). Besides routine brain imaging, MRI is excellent at demonstrating diseases involving the internal auditory canals, pituitary gland, and orbits. Diffusion MRI is currently the earliest imaging modality for detecting acute stroke.

picture

Orthopedic MRI

Only MRI has the ability to non-invasively image the soft tissue structures within the joints and extremities. This allows early and accurate diagnosis of potentially serious injuries to the bones, muscles, tendons, ligaments, and fibrocartilage following sports injury or accidental trauma.

picture

Body MRI

With the availability of fast breath-hold techniques, MRI is now a powerful tool for evaluating diseases of the abdomen and pelvis. As an alternative to ERCP and transhepatic cholangiography, MRCP (MR Cholangiopancreatography) can be performed to non-invasively evaluate the biliary and pancreatic ducts.

picture

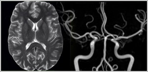
MR Angiography (MRA)

This technique uses flowing blood to obtain detailed images of the blood vessels. The examination is fast and easy to do, and produces images that approach the quality of traditional invasive catheter angiography.

picture

MR Spectroscopy (MRS)

MRS is a relatively new clinical procedure that allows detection of biochemical abnormalities within the brain. It is generally performed in addition to an MRI scan.